Reparaturmechanismen in der Zelle

2. Proteine – die „rostende“ Maschinerie des Lebens

Autor/innen

  • Boris Schmidtgall
2026-02-05

Downloads

Proteine sind die vielfältigste und größte Klasse der molekularen Bausteine des Lebens. Zugleich sind sie sehr anfällig für diverse Schäden – vor allem durch reaktive Spezies (reaktionsfreudige und damit gefährliche Moleküle), die infolge von chemischen Reaktionen des Sauerstoffs in der Zelle gebildet werden. Ist eine schrittweise evolutionäre Entstehung von Systemen zur Vorbeugung und Reparatur von Schäden an Proteinen plausibel oder handelt es sich dabei um ein Schöpfungsindiz?

Introbild Der biologische Alterungsvorgang wird als das Resultat aufsummierter Schäden an biologisch relevanten Molekülen aufgefasst. Dabei spielen u. a. reaktive Sauerstoffspezies eine wesentliche Rolle, deren schädliche Wirkung ohne äußerst komplexe Reparaturmechanismen innerhalb kürzester Zeit tödlich wäre. (Adobe Stock)

Mit einem Stern* ver­se-hene Begriffe werden im Glossar erklärt (s. S. 96).

Kompakt

Aufgrund ihrer vielseitigen Einsatzbereiche im Organismus sind Proteine chemisch sehr divers. Das macht sie allerdings auch anfällig für chemische Reaktionen, die ihre Funktion beeinträchtigen oder gänzlich verhindern. Die häufigste Ursache von Schäden an Proteinen sind chemische Reaktionen mit „reaktiven Spezies“ – reaktionsfreudigen Molekülen, die allesamt infolge von chemischen Reaktionen des Sauerstoffs in der Zelle entstehen. Proteine, die durch solche Reaktionen verändert werden, neigen stark dazu, ihre funktionsfähige 3D-Form zu verlieren und wasserunlösliche Oberflächen offenzulegen. Schäden am Proteom (Gesamtheit der Proteine eines Organismus) führen zur mangelhaften Funktionsweise von Stoffwechselwegen, der Erhöhung der Mutationsrate und der Bildung schädlicher Protein-Ablagerungen. Um zu überleben, müssen alle Zellen über hochgradig effiziente und mehrschichtige Systeme aus Vorbeugung und Reparatur von Schäden am Proteom sowie Abbau irreparabel deformierter Proteine und daraus resultierender Plaques aufweisen. Eine schrittweise Entstehung solcher Systeme ist nicht plausibel, da vier Komponenten der Reparatur gleichzeitig benötigt werden; das Fehlen einer dieser Komponenten würde vom Organismus wegen der hohen Rate an Schäden an Proteinen nicht verkraftet. Insgesamt scheint die „Qualitätskontrolle“ von Proteinen in Organismen ein weiteres deutliches Schöpfungsindiz zu sein.

Einleitung

„Wer rastet, der rostet“ – dieser allgemein bekannte Ausspruch besagt, dass Bewegungsmangel abträglich für die Gesundheit eines Menschen ist. Das ist allerdings nur eine „halbe Wahrheit“, da alle Lebewesen altern. Eine gesunde Lebensweise kann diesen Prozess höchstens etwas verlangsamen. Der biologische Alterungsvorgang wird als das Resultat aufsummierter Schäden an Proteinen und Erbgutmolekülen aufgefasst (Krisko & Radman 2019). Die Folge ist eine zunehmend fragile Konsistenz und ineffiziente Funktionsweise unseres Körpers – es kommt zum Verfall, ähnlich wie bei rostendem Metall. Eine Schlüsselrolle spielt dabei molekularer Sauerstoff (O2): Die „Chemie des Todes“ wird ausgerechnet durch denjenigen Stoff maßgeblich verursacht, auf den wir am wenigsten verzichten können. Besonders anfällig für Reaktionen mit den „reaktiven Spezies“ – den Produkten chemischer Reaktionen des Sauerstoffs in der Zelle – sind Proteine.

Die „Chemie des Todes“ wird ausgerechnet durch denjenigen Stoff verursacht, auf den wir am wenigsten verzichten können: molekularen Sauerstoff (O 2 ).

Nachdem es in der ersten Folge um Schäden und Reparaturvorgänge an Erbgutmolekülen (DNA/RNA) ging (Schmidtgall 2024), sollen in dieser Folge die Proteine hinsichtlich ihrer Anfälligkeit für Schäden und deren Reparatur näher betrachtet werden.

Eigenschaften von Proteinen

Proteine sind für den Aufbau und die Funktionsweise der Zelle unverzichtbare kettenförmige Makromoleküle. Strukturproteine sind ein wesentlicher Bestandteil des „Zellgerüsts“ und eine Vielzahl katalytisch* aktiver Proteine reguliert den Stoffwechsel und Energiehaushalt der Zelle. Die Proteine aller Lebewesen bestehen aus einem Satz von zwanzig kanonischen Aminosäuren (Abb. 1) – abgesehen von einigen abgeleiteten oder in Spurenmengen vorkommenden nichtkanonischen Aminosäuren. Die chemischen und physikalischen Eigenschaften der Aminosäuren sind sehr vielfältig und werden durch die jeweilige Seitengruppe definiert. Es gibt wasserliebende, fettliebende und elektrisch geladene Aminosäure-Seitengruppen, die sich auch in der Größe zum Teil deutlich unterscheiden. Die Vielfalt der chemischen Eigenschaften dieser Bausteine ermöglicht den Zusammenbau sehr unterschiedlicher Proteine – hinsichtlich ihrer Größe, Flexibilität, 3D-Struktur, Wasserlöslichkeit und der chemischen Reaktivität. Man spricht in diesem Zusammenhang davon, dass das natürliche Aminosäurealphabet einen sehr großen chemischen Raum abdeckt, was für die große Vielfalt an Funktionen der Proteine in Organismen nötig ist (Illardo et al. 2019).

Figure 1. Abb. 1 Strichformeln der zwanzig kanonischen Aminosäuren und Einteilung hinsichtlich einiger wichtiger chemischer Eigenschaften.

Entscheidend für die Eigenschaften und Funktionen von Proteinen sind die Art und Reihenfolge der Aminosäuren: die Aminosäuresequenz. Die Sequenz bestimmt die dreidimensionale Faltung, die von vielen Proteinen nach ihrer Synthese angenommen wird – und damit ihre biochemische Funktion. Da die zelluläre Umgebung eine wässrige Lösung ist, befinden sich bei allen Proteinen mit stabiler Faltung fast nur wasserliebende Aminosäurereste an der äußeren Oberfläche (Abb. 2). So wird eine gute Wasserlöslichkeit gewährleistet und die Gefahr des Verklumpens der Proteine (Bildung von Plaques) minimiert.

Figure 2. Abb. 2 Links: Modell der dreidimensionalen Struktur des humanen Hämoglobins (jeweils zwei gleiche Untereinheiten), das für den O2-Transport im Blut zuständig ist. Das Rückgrat der Proteineinheiten ist in Form einer vereinfachten Helix dargestellt. Rechts: Errechnete Hydrophilie (Software: ChimeraX) der Oberfläche der Hämoglobin-Proteinuntereinheiten (türkis: hydrophil; gelb: hydrophob). Daraus geht deutlich hervor, dass wasserliebende (hydrophile) Aminosäuren auf der Oberfläche stark überwiegen. Das ist für die Wasserlöslichkeit der Proteine unverzichtbar. (Abb. wurde anhand der Daten von Takahashi et al. (2024) erstellt, PDB-Code: 8wj2).

Ursachen und Folgen von Schäden an Proteinen

Wie fast alle biologisch relevanten Moleküle sind Proteine thermodynamisch* labil, aber kinetisch* eher robust. Bei Proteinen ist insbesondere die dreidimensionale Struktur von spontanen Veränderungen betroffen. Dies bedeutet, dass sie dazu neigen, ihre funktionstüchtige 3D-Form (Faltung) unumkehrbar zu verlieren – ein Vorgang, der auch als „Denaturierung“ bezeichnet wird. Fehlerhafte Faltungen von Proteinen können entweder genetisch bedingt sein oder durch chemische Reaktionen der Proteine zustande kommen. In vielen Fällen genügt die Änderung einer einzigen Aminosäure innerhalb einer Abfolge von Hunderten Aminosäuren für eine deutliche Beeinträchtigung der Eigenschaften eines Proteins. Das ist der Grund für die Schädlichkeit vieler Mutationen (Erbgutänderungen) im Genom. Ähnlich empfindlich reagieren Proteine auf Änderungen ihrer Struktur durch chemische Reaktionen, da diese häufig auch Änderungen der physikalischen (Löslichkeit, Gestalt, Flexibilität) und chemischen (Reaktivität) Eigenschaften des Proteins bewirken.

In vielen Fällen genügt die Änderung einer einzigen Aminosäure für eine deutliche Beeinträchtigung der Eigenschaften eines Proteins.

Figure 3. Abb. 3 Reaktionsschema der metallkatalysierten Desaminierung von Proteinen mit nachfolgender Quervernetzungsreaktion.

Hinsichtlich ihrer chemischen Reaktivität unterscheiden sich Proteine recht deutlich von Erbgutmolekülen (DNA und RNA). Im Gegensatz zu Nukleinsäuren sind Spaltung durch Wasser (Hydrolyse) oder durch UV-Licht ausgelöste Reaktionen keine relevante Ursache von Schäden bei Proteinen. Dafür sind sie aber deutlich anfälliger für Elektronenübertragungs-Reaktionen (Redoxreaktionen) und die Bildung von Addukten (mindestens 2 Moleküle verbinden sich durch chemische Reaktion) mit einer Vielzahl reaktiver Verbindungen. Der Umstand, dass das Aminosäurealphabet einen großen chemischen Raum abdeckt, hat zur Folge, dass Proteine mit einer deutlich größeren Zahl chemischer Verbindungen Reaktionen eingehen können als Erbgutmoleküle.

Die Hauptursache spontaner Strukturveränderungen von Proteinen sind chemische Reaktionen mit sogenannten reaktiven Spezies, die allesamt Folgeprodukte von Reaktionen des Sauerstoffs in der Zelle sind. Neben den bereits in der ersten Folge (Schmidtgall 2024) beschriebenen reaktiven Sauerstoff-Spezies (reactive oxygen species, ROS), entstehen in der Zelle als Folge chemischer Reaktionen des Sauerstoffs auch reaktive Stickstoff-Spezies (reactive nitrogen species, RNS), reaktive Kohlenstoffspezies (reactive carbon species, RCS) und reaktive Halogenspezies (reactive halogen species, RHS). Die ROS weisen ähnlich wie die RHS eine hohe Reaktivität auf und reagieren folglich mit einer Vielzahl verschiedener Komponenten der Zelle. Dagegen sind RNS und RCS weniger reaktiv und gehen eher spezifische Reaktionen ein, d. h. mit bestimmten chemischen Verbindungen und Funktionalitäten bzw. Untereinheiten von Proteinen (Kehm et al. 2021; Akagawa 2020). Details der Reaktionen reaktiver Spezies und ihrer Auswirkungen sind im Kasten „Bildung von reaktiven Spezies und ihre Reaktionen mit Proteinen“ angeführt.

Folgen von Strukturveränderungen bei Proteinen

Die Folgen von Mutationen bzw. Strukturänderungen durch chemische Reaktionen sind fehlerhafte Faltungen der Proteine (Denaturierung), die ihre Funktion beeinträchtigen bzw. gänzlich verunmöglichen. Die Denaturierung hat zur Folge, dass fettliebende Oberflächen am Protein teilweise exponiert werden, wodurch es zum Verklumpen (Aggregation) der Proteine unter Bildung toxischer Ablagerungen (Plaques) in der Zelle kommen kann. Die Plaquebildung resultiert in den meisten Fällen durch unspezifische Interaktionen fehlerhaft gefalteter Proteine und durchläuft verschiedene Stadien (Ajmal 2023). Sind Proteine strukturell verändert, tendieren sie dazu, zunächst kleinere Protein-Oligomere zu bilden. Dieser Vorgang ist umkehrbar und wird als „Nukleationsphase“ bezeichnet, d. h. es bilden sich langsam kleine Kristallisationskeime, die zur Entstehung größerer Oligomere führen können. Sind solche größeren Partikel einmal entstanden, können daraus schnell fadenförmige Proteinaggregate (Amyloid-Fibrillen) hervorgehen. Der letzte Vorgang ist in vielen Fällen thermodynamisch begünstigt und daher nicht umkehrbar (Philo & Arakawa 2009). Außerdem sind fibrilläre Proteinaggregate nur schwer durch die zelleigenen Mechanismen abbaubar.

Die Bildung von Protein-Ablagerungen ist nicht umkehrbar und entstandene Plaques sind schwer abbaubar. Sie verursachen viele neurodegenerative Erkrankungen.

Fehlfaltungen von Proteinen können aufgrund der netzwerkartigen Organisation des Proteoms viele andere Proteine in ihrer Funktion beeinträchtigen (Powers et al. 2009). In solchen Fällen spricht man von einer Störung der Protein-Homöostase – dem funktionsfähigen Gleichgewichtszustand der Gesamtheit der Proteine. Bei Menschen rühren viele neurodegenerative Erkrankungen wie Parkinson, Alzheimer oder Chorea Huntington von der Bildung von Protein-Ablagerungen als Folge fehlerhafter Proteinfaltung.

Prionen sind ein weiteres bekanntes Beispiel für fehlerhaft gefaltete Proteine. Durch Interaktion mit anderen Proteinen verursachen Prionen auch bei anderen Proteinen Fehlfaltungen und können so bei Tieren und Menschen Hirnerkrankungen auslösen (Ajmal 2023) wie z. B. BSE („Rinderwahn“). Darüber hinaus können Beeinträchtigungen des Proteoms auch Proteine betreffen, die für die Synthese des Erbguts zuständig sind. Fehlfaltungen der DNA-Replikase führen zu erhöhten Mutationsraten, die wiederum eine Zunahme fehlerhaft gefalteter Proteine auslösen, sodass die Qualität des Proteoms umso schneller abnimmt (Krisko & Radman 2019). So kommt es zu einem beschleunigten „Teufelskreis“ des Verfalls, der schließlich den programmierten Zelltod (Apoptose) auslöst. Infolgedessen liegt die Annahme nahe, dass Schäden an Proteinen insgesamt mehr Gewicht haben als Schäden an allen anderen Arten biologisch relevanter Moleküle (Krisko & Radman 2019).

Das Schicksal der meisten Proteine unter typischen zellulären Bedingungen ist „bösartig, brutal und kurz“.

Das Ausmaß der spontanen Strukturänderungen von Proteinen ist nicht unerheblich. Bei Säugetieren werden pro Stunde ca. 1–2 % der Proteine infolge von spontan eintretenden Schäden durch die dafür zuständige zelluläre Maschinerie abgebaut (Goldberg 2003). Goldberg beschreibt die Bedingungen im zellulären Milieu eines Säugetiers als „denaturierend“ und schlussfolgert, dass das Schicksal eines typischen Proteins unter diesen Bedingungen „bösartig, brutal und kurz“ sei (Goldberg 2003). Aber auch bei anderen Lebewesen dürften die Standardbedingungen in der Zelle nicht viel milder sein. Unter „Stressbedingungen“ wie einer erhöhten Temperatur, stark vom neutralen Bereich abweichendem pH-Wert, erhöhter Lichtintensität oder dem Vorliegen reaktiver Chemikalien kommt Denaturierung aber noch bedeutend häufiger vor. Es ist daher absolut unverzichtbar, dass Zellen aller Domänen des Lebens mit einer großen Vielfalt an Schutz- und Reparaturmechanismen gegen die Denaturierung und Aggregation von Proteinen ausgestattet sind.

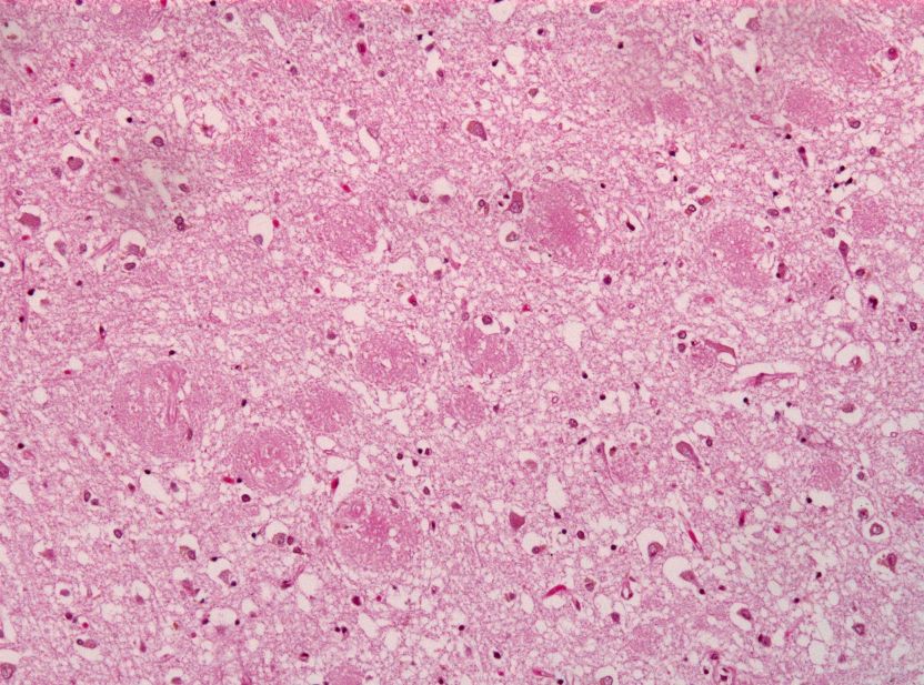
Figure 4. Abb. 4 Schnitt durch das Hirngewebe eines Alzheimer-Patienten. Mit Hilfe der Hämatoxylin-Eosin-Färbung sind die Plaques als rundliche stärker rötliche Flecken sichtbar gemacht worden. (Jensflorian, CC BY-SA 3.0)

Bildung von reaktiven Spezies und ihre Reaktionen mit Proteinen

ROS: Die Entstehung reaktiver Sauerstoff-Verbindungen ist bereits früher ausführlich dargestellt worden (Schmidtgall 2022). Dabei ist nicht der Sauerstoff selbst für Zellen schädlich – sondern seine Reaktionsprodukte, die vor allem in Mitochondrien gebildet werden. Am reaktivsten ist das Hydroxylradikal (OH·), weniger reaktiv sind das Superoxidradikal (O2·) und Wasserstoffperoxid (HOOH). Weitere relevante ROS entstehen durch Reaktionen von Hydroxylradikalen mit Fettsäuren oder Alkoholen. Sie werden als Lipoxyl- oder Alkoxyl-Radikale (RO·) bezeichnet. Hydroxyl- und Alkoxyl-Radikale reagieren mit vielen verschiedenen Untereinheiten von Proteinen. Die am häufigsten auftretende Reaktion ist die Metall-katalysierte Desaminierung von Lysin unter Beteiligung von Hydroxylradikalen (Akagawa 2020) (Abb. 3).

Das dabei gebildete Produkt (Aldehyd) kann in weiteren Reaktionen zur Quervernetzung der Proteinstruktur führen. Superoxidradikale reagieren kaum mit Proteinen, dafür aber sehr schnell mit Eisen-Schwefel-Clustern – wichtigen Funktionseinheiten in Proteinen der Atmungskette bei Säugetieren sowie in Proteinen der Photosynthese bei Pflanzen und Mikroorganismen (Andres et al. 2020). Bei E.-coli-Bakterien wurde eine sehr schnelle Reaktion (106–107 M-1s-1) von Superoxiden mit Eisen-Schwefel-Clustern gemessen (Djaman 2004). Ausgehend von dieser Reaktionsgeschwindigkeit wurde die Halbwertszeit (T1/2) aller Eisen-Schwefel-Cluster in E. coli unter aeroben Bedingungen (d. h. unter Anwesenheit von Sauerstoff) auf ca. 40 Minuten errechnet. Wasserstoffperoxid kann Reaktionen mit Proteinuntereinheiten eingehen, die Schwefel enthalten. So können z. B. zwei Cystein-Reste durch Einwirken von H2O2 eine Disulfidbrücke ausbilden – ein wichtiger Mechanismus der Quervernetzung von Proteinen. Zudem reagieren Thiolgruppen des Cysteins mit ROS häufig (umkehrbar) zu Sulfensäure und darauf folgend (nicht umkehrbar) zu Sulfin- bzw. Sulfonsäure (Ezraty et al. 2017). Darüber hinaus ist auch für H2O2 gezeigt worden, dass es selektiv das Eisen-Schwefel-Cluster N1b der Atmungskette schädigt – allerdings nur bei erhöhter Konzentration (Strotmann et al. 2023).

RNS: Bei höheren Lebewesen ist das Nitrosyl-Radikal (NO·) ein wichtiges Botenmolekül. Es ist beteiligt am Vorgang der Erweiterung von Blutgefäßen und aktiviert das Enzym Guanylat-Cyclase, welches das sekundäre Botenmolekül cGMP erzeugt – ein wichtiger Vorgang in der Reizweiterleitung. Das Nitrosyl-Radikal wird durch das Enzym Nitrosyl-Synthase aus der Aminosäure Arginin generiert. Abgesehen von seiner unverzichtbaren Funktion als Botenmolekül hat das Nitrosyl-Radikal aber auch eine Schattenseite: Es reagiert mit dem Superoxid-Radikal (O2·) zu verschiedenen RNS, darunter Peroxynitrit (ONOO), Stickstoffdioxid (NO2·) und Distickstofftrioxid (N2O3) (Kehm et al. 2021; Akagawa 2020). Peroxynitrit liegt unter physiologischen Bedingungen zum Teil in der protonierten Form (hier: Anlagerung von Wasserstoffkernen) vor (ONOOH), die ein sehr labiles (T1/2= 0,6 s) und reaktionsfreudiges Molekül darstellt. Es reagiert mit der Aminosäure Cystein zur entsprechenden Sulfensäure und nitriert Tyrosin und Hämoglobin (Radi 2018). Peroxynitrit schädigt überdies auch Eisen-Schwefel-Cluster (Djaman et al. 2004). Distickstofftrioxid (N2O3) ist ebenfalls ein kurzlebiges Molekül. Es nitrosyliert (d. h. kovalenter Einbau einer Stickstoffmonoxid (NO)-Einheit) sowohl die Thiolgruppe von Cystein als auch verschiedene Aminogruppen unter Bildung stabiler und krebserregender Nitrosamine (Möller & Vitturi 2024).

RCS:ROS gehen Reaktionen mit verschiedenen in Zellen vorhandenen organischen Verbindungen wie Zuckern, Fetten oder Polyphenolen ein. Daraus entstehen reaktive Verbindungen wie Acrolein, Malondialdehyde (MDA), 4-Hydroxy-2-Nonenal (4-HNE), Glyoxal oder ortho-Chinone, die als reaktive Kohlenstoffverbindungen (RCS) bezeichnet werden. Diese Verbindungen können eine Vielzahl verschiedener Addukte mit Aminogruppen und Thiolgruppen an Proteinen bilden. In den meisten Fällen sind die gebildeten strukturellen Abwandlungen nicht umkehrbar.

RHS:Die Bildung von reaktiven Halogen-Spezies, den Hypohalogen-Säuren HOCl, HOBr und HOI, erfolgt hauptsächlich durch Oxidation von Halogenid-Ionen durch das Enzym Myeloperoxidase, das bei höheren Organismen eine wichtige Rolle in der Vernichtung von Krankheitserregern spielt (Klebanoff 2005). Die Reaktivität von RHS ist derjenigen von Wasserstoffperoxid vergleichbar.

Maßnahmen gegen Schäden an Proteinen

Vorbeugung vor Protein-Fehlfaltungen

Antioxidativ wirksame, kleine Moleküle (Glutathion und Vitamine) stellen neben ROS-abbauenden Enzymen wie Superoxid-Dismutasen und Katalasen eine wichtige Komponente in der Vorbeugung von Schäden durch reaktive Spezies dar (Schmidtgall 2022). Bakterien weisen ein sensorisches System auf (SoxR), welches die Detektion organischer Moleküle ermöglicht, die die Bildung von reaktiven Spezies fördern (ebd.). Es deutet alles darauf hin, dass selbst die einfachsten Organismen hochgradig effiziente und vielschichtige molekulare Systeme zur Abwehr von oxidativem Stress aufweisen. Simplere Versionen davon sind nicht bekannt. Daher müssen Hypothesen über den Ursprung erster Organismen der Komplexität dieser Systeme Rechnung tragen.

Zusätzlich zu den beschriebenen Reparaturmechanismen gibt es auch noch kleinere, antioxidativ wirksame Moleküle, die ein Wasserstoff bzw. ein Elektron auf die reaktiven Spezies übertragen können, die infolgedessen weniger reaktiv werden.

Da reaktive Spezies auch unter erhöhter Lichtintensität erzeugt werden, brauchen Pflanzen weitere chemische Verbindungen zur Neutralisierung reaktiver Spezies: Besonders wichtig ist die Schutzfunktion von Vitamin C für den Photosyntheseapparat von Pflanzen. Vitamin C wird in Pflanzen gezielt in die Chloroplasten importiert und dort angereichert, um ROS zu neutralisieren und so die Proteine des Photosyntheseapparats zu schützen (Li et al. 2020). Zudem kommen in Pflanzen viele Stoffe mit antioxidativer Wirkung als Sekundärmetaboliten (spezielle Stoffwechselprodukte) vor. Aufgrund der großen Fülle an Beispielen seien hier nur einige wenige angeführt: Kurkumin, ein Inhaltsstoff der Kurkumapflanze und beliebtes Gewürz, wird auch als gelber Farbstoff E-100 in der Nahrungsmittelindustrie verwendet. Er ist bekannt für seine hemmende Wirksamkeit gegen die Proteinaggregation und wurde als Wirkstoff in der Behandlung von Alzheimer vorgeschlagen (Pal 2023). Eine verbreitet vorkommende Klasse antioxidativ wirksamer Moleküle sind Polyphenole. Dazu zählen Inhaltsstoffe von Zimt (Coumarine, Zimtsäure) oder Wein (Resveratrol, Tanninsäure) (Charlton et al. 2023).

Die Tatsache, dass Lichteinfall immer auch zur Bildung reaktiver Spezies führt, hat Implikationen für naturalistische Ursprungsmodelle. Aus evolutionstheoretischer Perspektive muss erklärt werden, wie ein schrittweiser Aufbau von hochkomplexen ­Photosyntheseapparaten zeitgleich und von Anfang an mit entsprechend effizienten und ebenfalls hochkomplexen Schutzsystemen erfolgte.

Evolutionäre Modelle der Entstehung der Photosynthese müssen die zeitgleiche Entstehung hocheffizienter Schutzsysteme erklären.

Eine weitere unverzichtbare Ressource zur Vorbeugung von Schäden am Proteom sind Polyphosphate (polyP) – unterschiedlich lange Kettenmoleküle zu drei bis eintausend Phosphateinheiten (vgl. Schmitdgall 2022). Lange Zeit galten sie als „geheimnisvoll“ und unverstanden. Seit den Arbeiten von Arthur Kornberg (Akiyama et al. 1992) ist im Verlauf von 30 Jahren eine erstaunliche Vielfalt an Funktionen dieser Polymere entdeckt worden (Guan & Jakob 2024). Bei Bakterien sind polyP unter anderem beteiligt an verschiedenen Arten von Stressantworten (bei Hitze, Oxidation, UV-Licht, Mangelernährung), Resistenz gegen Antibiotika und der Aufrechterhaltung der Stabilität des Genoms. Bei Menschen spielen polyP u. a. in der Blutgerinnung und der Funktion von Mitochondrien wichtige Rollen. Allgemein scheint eine der wichtigsten Funktionen von polyP das Verhindern der Proteinaggregation zu sein. Es konnte anhand der Lactat-Dehydrogenase gezeigt werden, dass in Gegenwart einer erhöhten Konzentration von polyP (1 mM) selbst bei 85 °C die vollständige Denaturierung der Proteine verhindert wird (Yoo et al. 2018). Die Proteine nehmen stattdessen eine Art -Faltblatt-Struktur an, die nach Sinken der Temperatur durch Chaperone (Faltungsproteine) wieder in den funktionsfähigen Zustand überführt werden kann (zu PolyP-Schutzmechanismen: s. Schmidtgall 2022). Ein weiterer faszinierender Aspekt bezüglich polyP ist auch die Fähigkeit, Vorstufen von Amyloid-Fibrillen aufzulösen und so die Bildung unlöslicher Protein-Plaques zu verhindern (Yoo et al. 2018).

Bis heute sind viele Details bezüglich polyP ungeklärt, wobei laut Guan & Jakob (2024) „die zugrundeliegenden regulatorischen Mechanismen hochgradig komplex sind und sich je nach Organismus stark unterscheiden, insbesondere zwischen Eukaryoten und Prokaryoten“. Häufig wird allein aufgrund der baulichen Einfachheit von polyP davon ausgegangen, dass es sich um ein Molekül handelt, das bereits in einem sehr frühen Stadium der angenommenen Evolution in Organismen vorhanden war und die Funktion „primitiver Chaperone“ innehatte (Gray et al. 2014). Allerdings gibt es keinen Organismus, in dem die Synthese und der Abbau von polyP nicht von einem komplexen Ensemble verschiedener Enzyme reguliert werden. Daher muss aus evolutionärer Perspektive plausibel erklärt werden, wie diese unverzichtbare Schutzeinrichtung schrittweise entstanden sein soll. Es ist dabei auch zu berücksichtigen, dass hohe Konzentrationen von polyP giftig sind (Desfougères et al. 2020).

Alle bisher diskutierten Maßnahmen dienen der Vorbeugung von Schäden an Proteinen. Sie können jedoch bereits entstandene Fehlfaltungen nicht wieder rückgängig machen. In solchen Fällen gibt es in Zellen zwei prinzipielle Vorgehensweisen: 1. Das Protein wird abgebaut – der „Nachschub“ erfolgt beständig über die Proteinbiosynthese. 2. Das Protein wird durch andere Proteine (Chaperone) erneut in die intakte Form gebracht.

Figure 5. Abb. 5 Strichformeln einiger natürlich vorkommender Antioxidantien. Vitamin C wird in vielen Pflanzen in den Chloroplasten angereichert. Kurkumin, der Inhaltsstoff der Kurkumapflanze, findet als Gewürz und als Therapeutikum gegen Alzheimer Verwendung. Im Wein sind zahlreiche Antioxidantien enthalten, darunter die besonders wirksamen Stoffe Tanninsäure und Resveratrol. (Kristian Peters - Fabelfroh, CC BY-SA 3.0; BroviPL, Public Domain; Adobe Stock)

Abbau fehlerhafter Proteine. Schon vor 50 Jahren ist nachgewiesen worden, dass Zellen denaturierte Proteine selektiv durch enzymatische Hydrolyse abbauen (Goldberg 1972). Sowohl in Eukaryoten als auch in Bakterien werden Proteine nur dann schnell abgebaut, wenn eine signifikante Störung ihrer korrekten Faltung gegeben ist. In Eukaryoten werden ca. 30 % aller neu synthetisierten Proteine wieder abgebaut, weil sie nicht die richtige Faltung annehmen (Goldberg 2003). Das hängt wahrscheinlich damit zusammen, dass Eukaryoten z. T. wesentlich komplexer gebaute Proteine aufweisen, deren Faltung entsprechend aufwändiger und fehleranfälliger ist.

Der Abbau von Proteinen erfolgt grundsätzlich unter Energieverbrauch (mittels der Zellenergiewährung ATP) und betrifft Proteine, die entweder generell kurzlebig oder irreparabel beschädigt sind. In Eukaryoten werden Proteine, die abgebaut werden sollen, vorher mit einer Ubiquitin-Einheit versehen, sodass intakte Proteine von defekten unterschieden werden können. Das Ubiquitin ist ein kleines Protein (76 Aminosäuren), das hauptsächlich der Markierung defekter Proteine dient. Das Anbringen der Ubiquitin-Gruppe ist ein Vorgang, der durch Ubiquitin-Ligasen katalysiert wird und unter ATP-Verbrauch abläuft. Bei Säugetieren gibt es Hunderte verschiedene Ubiquitin-Ligasen, die für das Erkennen und Markieren beschädigter Proteine zuständig sind. Bei einigen Prokaryoten gibt es mit „Pup“ ebenfalls ein Protein, das der Kennzeichnung zum Abbau bestimmter Proteine dient, wobei die Abbauwege von Proteinen in Eukaryoten und Prokaryoten sehr unterschiedlich sind (Schrader et al. 2009).

Bei Eukaryoten wird die große Mehrheit der beschädigten Proteine (80 %) durch das 26S Proteasom abgebaut (Schrader et al. 2009; Collins & Goldberg 2017). Es handelt sich dabei um einen sehr großen Enzymkomplex mit 33 Untereinheiten und einer Masse von ca. 2,5 Tausend kDa1, der aus einem zylinderförmigen Kernteil (20S) und zwei regulatorischen Partikeln (19S) besteht. Im inneren Teil des Proteasoms (20S) wird ein Protein zu kleinen Peptiden von zwei bis zehn Aminosäuren Länge gespalten. Die anschließende Spaltung zu Aminosäuren wird von Peptidasen im Cytosol (flüssiger Bestandteil des Zellplasmas) bewerkstelligt. Das Proteasom ist eine derart effektive molekulare Maschine, dass es einer strengen Kontrolle bedarf, um unselektive Proteinspaltung zu vermeiden (Reichmann et al. 2018). Ebenso würden Proteasen, die z. B. beim Abbau der zu verdauenden Proteine aus Nahrungsmitteln zum Einsatz kommen, schnell zu einer Spaltung aller Proteine in der Zelle führen. Das daraus resultierende Problem für die Evolutionslehre bringt Goldberg auf den Punkt (2003): „Das fundamentale Problem, das die Evolution lösen musste, war die Notwendigkeit, Zellen mit der Fähigkeit auszustatten, fehlgefaltete und beschädigte Proteine zu zerstören, ohne dabei unselektiv wichtige Zellbestandteile zu beschädigen.“ Es überrascht daher nicht, dass die Aktivität des Proteasoms von einer Vielzahl post-synthetischer Mechanismen reguliert wird (Collins & Goldberg 2017). In Bakterien wird die Spaltung beschädigter Proteine durch einige ATP-abhängige Proteasen (Clp-Proteasen) bewerkstelligt, die als AAA+-Proteine klassifiziert werden. Diese Proteine weisen ein ähnliches Strukturmotiv wie das Proteasom der Eukaryoten auf und sind auch eher komplexe Proteine, wenn auch deutlich kleiner als das Proteasom. Gemäß Seraphim & Houry (2020) fungieren sie als „molekulare Maschinen, die die chemische Energie von ATP nutzen, um mechanische Arbeit auszuführen“. Auch für diese unverzichtbaren Enzyme sind keine einfacheren Vorläufer bekannt, weswegen auch hier hinsichtlich der evolutionären Entstehung Erklärungsbedarf besteht.

Reparatur fehlerhaft gefalteter Proteine. Reparable Fehlfaltungen bei Proteinen können durch Chaperone behoben werden. Bei Chaperonen handelt es sich um Proteine, die fehlerhaft gefaltete Proteine erkennen und durch Binden an diese eine Aggregation verhindern. Darüber hinaus sind viele Chaperone dazu in der Lage, die funktionale Form des gebundenen Proteins durch Beschleunigung der Faltung wiederherzustellen. Es gibt eine sehr große Vielfalt an Chaperonen. Sie können sowohl monofunktional als auch multifunktional sein, ATP-abhängig oder -unabhängig. Aufgrund dieser unüberschaubaren Fülle sollen hier anhand einiger Beispiele Prinzipien der Funktionsweise dieser Proteine veranschaulicht werden. Eine wichtige Schutzfunktion in E.-coli-Bakterien erfüllt das Hsp33 (heat shock protein 33). Mit einer Masse von 33 kDa ist es ein großes Protein, für das bisher nur unter Stressbedingungen eine Funktion bekannt ist (Reichmann et al. 2018). Mit einer Einheit aus vier Cysteinen, die ein Zink-Ion binden, weist Hsp33 ein Strukturmotiv auf, das eine elegante Funktion als Chaperon ermöglicht. Sobald sich verstärkte oxidative Belastung einstellt, werden die vier Cystein-Einheiten oxidiert, sodass sich zwei Disulfid-Brücken ausbilden, wobei das Zinkion freigesetzt wird. Infolgedessen kommt es zu einer globalen Umstellung der 3D-Form, die das Binden fehlgefalteter Proteine durch einen freigelegten Linker (ein kurzer Aminosäureabschnitt im Protein, der zwei Proteinstrukturen verbindet) ermöglicht. Eine ähnliche Funktionsweise – wegen des gleichen Strukturmotivs bei z. T. deutlich andersartiger Aminosäuresequenz – ist für das Get3-Protein aus Hefezellen nachgewiesen worden. Besonders interessant ist dabei, dass die Chaperone auch für das Abklingen der Stresssituation bestens konstruiert sind. Sie entlassen die fehlgefalteten Proteine erst dann, wenn sowohl ATP als auch Foldasen (d. h. ATP-abhängige Chaperone) vorliegen, die eine Rückfaltung des geschädigten Proteins ermöglichen (Reichmann et al. 2018). Die Autoren sprechen von einem „sorgfältig orchestrierten“ Loslösungsvorgang. Es konnte überdies experimentell gezeigt werden, dass sowohl Hsp33 für E. coli als auch Get3 für Hefen unverzichtbare Schutzvorrichtungen darstellen, ohne die die Organismen deutlich weniger resistent gegen oxidativen Stress sind.

Die Funktionsweise von Chaperonen ist vom Binden über die Rückfaltung bis hin zur Loslösung eines beschädigten Proteins „sorgfältig orchestriert“.

Ein weiteres Beispiel für Chaperone, die ebenfalls ohne ATP-Verbrauch auskommen, sind intrinsisch unstrukturierte Chaperone, die beim Binden fehlgefalteter Proteine eine wohlgeordnete Struktur annehmen und so via Entropietransfer die Ent- und Rückfaltung des anderen Proteins fördern (Tompa & Csermely 2004). Solchen Proteinen wurden früher unter dem Begriff „Holdasen“ lediglich passive Rollen i. S. der Verhinderung von Aggregation zugeschrieben. Es konnte jedoch gezeigt werden, dass sie ebenfalls aktiv an der Rückfaltung beschädigter Proteine beteiligt sind. Ein Beispiel hierfür sind kleine Hitzeschockproteine (sHsps), für die ein enges Zusammenspiel mit ATP-abhängigen Foldasen nachgewiesen werden konnte (Mogk & Bukau 2017). Man könnte hinsichtlich dieser kleinen Proteine auch von co-Katalysatoren der Rückfaltung sprechen, da ihr Fehlen den Rückfaltungsvorgang signifikant verlangsamt (Mogk & Bukau 2017).

Die entscheidende Rolle in der Faltungskorrektur von Proteinen kommt allerdings den ATP-abhängigen Chaperonen zu. Insgesamt gibt es sechs verschiedene Familien von ATP-abhängigen Chaperonen in Organismen (Binder & Pedley 2023). Zu den bekanntesten Beispielen zählen Hsp70 („DnaK“ in Bakterien) und Hsp90, die offenbar im Zusammenspiel die Reparatur fehlgefalteter Proteine bewältigen. Es handelt sich auch bei diesen Proteinen um relativ große Exemplare (70 bzw. 90 kDa), die in allen Domänen des Lebens – abgesehen von Archaea, in denen es andere Chaperone gibt – verbreitet vorkommen (Binder & Pedley 2023; Lemmens et al. 2018). Beide Proteine sind ausgesprochen multifunktional und sind ebenfalls zu den ATP-betriebenen „Maschinen“ der Zelle zu zählen. In menschlichen Zellen ist Hsp70 für das Erkennen und Binden fehlgefalteter Proteine, den Rückfaltungsvorgang oder die Unterstützung des Proteinabbaus zuständig. Hsp90 ist ebenfalls an der Rückfaltung deformierter Proteine sowie am Zusammenbau von Multiproteinkomplexen beteiligt.

Lange Zeit wurde geglaubt, dass es unmöglich sei, Protein-Aggregate zu lösen. Erst in den zurückliegenden dreißig Jahren wurden als „Dis­aggregasen“ bezeichnete Chaperone (Hsp104) erforscht, die sogar diesen Vorgang ermöglichen. Im Zusammenspiel mit anderen Proteinen und unter Verbrauch von ATP lösen diese Proteinkomplexe selbst hartnäckige Protein-Plaques auf (Doyle & Wickner 2009). Dass solche anspruchsvollen molekularen Vorrichtungen auch in Mikroorganismen (Bakterien und Hefen) vorliegen, lässt darauf schließen, dass sie für das längere Überleben von Lebewesen unverzichtbar sind.

Entstehung von Protein-Reparatursystemen durch Evolution?

Evolutionäre Hypothesen zur Entstehung von Vorrichtungen gegen oxidativen Stress bzw. zum Schutz vor Protein-Fehlfaltung fokussieren sich vorwiegend auf einzelne Proteine und die Konstruktion theoretischer Stammbäume anhand von Vergleichen der zugrundeliegenden genetischen Information in verschiedenen Organismen (Chen et al. 2006). Solche Versuche sind allerdings nicht geeignet, die Entstehung ganzheitlicher molekularer Systeme der „Qualitätskontrolle“ von Proteinen zu erklären. Nach allem, was bisher bekannt ist, sind alle Organismen auf das Vorhandensein von Radikalfängern (kleine Moleküle, Enzyme), Chaperonen (PolyP, Hsps), Proteasomen (bzw. Proteasen bei Bakterien) und Disaggregasen angewiesen. Ohne die vorbeugend wirksamen kleinen Moleküle bzw. ROS-abbauenden Enzyme wäre das System schnell überlastet und ohne die Reparaturvorrichtungen könnten entstandene Schäden bzw. Protein-Plaques nicht behoben werden.

Alle Komponenten der Schadensvorbeugung und Qualitätskontrolle des Proteoms müssen von Anfang an in Organismen vorgelegen haben.

Das beschriebene Ausmaß der regelmäßig eintretenden spontanen Fehlfaltungen von Proteinen erfordert eine hochgradig effiziente Schadensvorbeugung und „Qualitätskontrolle“ hinsichtlich des Proteoms von Anfang an. In einem Evolutionsszenario hätten die ersten Bakterien ein unvollständiges oder ineffizientes System der Schadensvorbeugung bzw. Qualitätskontrolle und wären damit sicherlich nicht überlebensfähig. Wie wichtig solche Systeme auch in Bakterien sind, zeigt sich beispielsweise daran, dass die für Proteine funktionell wichtigen Eisen-Schwefel-Cluster in E.-coli-Bakterien unter aeroben Bedingungen eine Halbwertszeit (T1/2) von nur ca. 40 Minuten haben (s. Kasten).

Das Zustandekommen solcher komplexen Reparatursysteme wird nicht einmal ansatzweise durch schrittweise Evolution erklärt. Die ausgeprägte Vernetzung der großen und sehr komplex gebauten Reparaturenzyme und ihr Angewiesensein auf Energie in Form von ATP legen vielmehr einen ganzheitlichen, intelligent geplanten Entwurf nahe – ein klares Schöpfungsindiz.

Glossar

Katalyse: Beschleunigung chemischer Reaktionen

kinetisch robust: Ein Molekül, das sehr langsam eine chemische Reaktion eingeht.

thermodynamisch labil: Ein energiereiches Molekül. Energiereiche Moleküle sind generell labil.

Anmerkungen

1 kiloDalton; ein Dalton = ca. 1/12 der Masse eines 12C-Atoms.

Literatur

Ajmal MR (2023) Protein Misfolding and Aggregation in Proteinopathies: Causes, Mechanism and Cellular Response. Diseases 11, 30.

Akagawa M (2020) Protein carbonylation: molecular mechanisms, biological implications, and analytical approaches. Free Radical Research 55, 307–320.

Akiyama M, Crooke E & Kornberg A (1992) The Polyphosphate Kinase Gene of Escherichia coli. J. Biol. Chem. 267, 22556–22561.

Andrés et al. (2020) Superoxide Anion Chemistry – its role at the core of the innate immunity. Int. J. Mol. Sci. 24, 1841.

Binder MJ & Pedley AM (2023) The roles of molecular chaperones in regulating cell metabolism. FEBS Lett. 597, 1681–1701.

Charlton NC et al. (2023) Structural features of small molecule antioxidants and strategic modifications to improve potential bioactivity. Molecules 28, 1057.

Chen B et al. (2006) Comparative genomics and evolution of the Hsp90 familiy of genes across all kingdoms of organisms. BMC Genomics 7, 156.

Collins GA & Goldberg AL (2017) The logic of the 26S proteasome. Cell 169, 792–806.

Desfougères Y, Saiardi A & Azevedo C (2020) Inorganic polyphosphate in mammals: where’s Wally? Biochem. Soc. Trans. 48, 95–101.

Djaman O et al. (2004) Repair of oxidized iron-sulfur clusters in Escherichia coli. J. Biol. Chem. 279, 44590–44599.

Ezraty B et al. (2017) Oxidative stress, protein damage and repair in bacteria. Nat. Rev. Microbiol. 15, 385–396.

Doyle SM & Wickner S (2009) Hsp 104 and ClpB: protein disaggregating machines. Trends Biochem. Sci. 34, 40–48.

Goldberg AL (1972) Degradation of abnormal proteins in Escherichia coli. PNAS USA 69, 422–426.

Goldberg AL (2003) Protein degradation and protection against misfolded or damaged proteins, Nature 426, 895–899.

Gray MJ et al. (2014) Polyphosphate is a primordial chaperone. Mol. Cell. 53, 689–699.

Guan J & Jakob U (2024) The protein scaffolding functions of polyphosphate. J. Mol. Biol. 436, 168504, im Druck.

Illardo M et al. (2019) Adaptive properties of the genetically encoded amino acid alphabet are inherited from its subsets. Sci. Rep. 9, 12468.

Kehm R. et al. (2021) Protein oxidation – Formation mechanisms, detection and relevance as biomarkers in human diseases. Redox Biol. 42, 101901.

Klebanoff SJ (2005) Myeloperoxidase: friend and foe. J. Leukoc. Biol. 77, 598–625.

Krisko A & Radman M (2019) Protein damage, ageing and age-related diseases. Open Biol. 9, 180249.

Lemmens L et al. (2018) Heat shock response in archaea. Emerging Topics in Life Sci. 2, 581–593.

Li Y et al. (2020) Benefiting others and self: Production of vitamins in plants. J. Integr. Plant Biol. 63, 210–227.

Mogk A & Bukau B (2017) Role of sHsps in organizing cytosolic protein aggregation and disaggregation. Cell Stress and Chaperones 22, 493–502.

Möller MN & Vitturi DA (2024) Chemical biology of dinitrogen trioxide. Red. Biochem. Chem. 8, 100026.

Pal C (2023) Small-molecules against oxidative stress mediated neurodegenerative diseases. Chem. Biol. Lett. 10, 626.

Philo JS & Arakawa T (2009) Mechanisms of Protein Aggregation. Curr. Pharm. Biotechnol. 10, 348–351.

Powers ET et al. (2009) Approaches to diseases of proteostasis deficiency 78, 959–991.

Radi R (2018) Oxygen radicals, nitric oxide, and peroxynitrite: redox pathways in molecular medicine. PNAS USA, 115, 5839–5848.

Reichmann D, Voth W & Jakob U (2018) Maintaining a Healthy Proteome during Oxidative Stress. Molecular Cell 69, 203–213.

Schmidtgall B (2022) Die Sauerstoffkatastrophe 3. Biologische Schutzvorrichtungen gegen oxidativen Stress. Stud. Integr. J. 29, 27–35.

Schmidtgall B (2024) Reparaturmechanismen in der Zelle. 1. Nukleinsäuren – ein fragiler Informationsspeicher. Stud. Integr. J. 31, 29–38.

Schrader EK, Harstad KG & Matouschek A (2009) Targeting proteins for degradation. Nat. Chem. Biol. 5, 815–822.

Seraphim TV & Houry WA (2020) AAA+ proteins. Curr. Biol. 30, R237–R262.

Strotmann L et al. (2023) H2O2 selectively damages the binuclear iron-sulfur cluster N1b of respiratory complex I. Sci. Rep. 13, 7652.

Takahashi K et al. (2024) The unique allosteric property of crocodilian haemoglobin elucidated by cryo-EM, Nat. Commun. 15, 6505.

Tompa P & Csermely P (2004) The role of structural disorder in the function of RNA and protein chaperones. FASEB J. 18, 1169–1175.

Yoo N et al. (2018) Polyphosphate stabilizes protein unfolding intermediates as soluble amyloid-like oligomers. J. Mol. Biol. 430, 4195–4208.

Proteine sind die vielfältigste und größte Klasse der molekularen Bausteine des Lebens. Zugleich sind sie sehr anfällig für diverse Schäden – vor allem durch reaktive Spezies (reaktionsfreudige und damit gefährliche Moleküle), die infolge von chemischen Reaktionen des Sauerstoffs in der Zelle gebildet werden. Ist eine schrittweise evolutionäre Entstehung von Systemen zur Vorbeugung und Reparatur von Schäden an Proteinen plausibel oder handelt es sich dabei um ein Schöpfungsindiz? 


Lesen Sie diesen Beitrag in folgenden Formaten

Am häufigsten gelesene Artikel dieses Autors

1 2 3 4 5 > >>